Medlem i

7 years 7 months
Indholdselementer
Fakta

Abstract

Introduction: Worldwide, pancreatic cancer (PC) ranks 13th in cancer incidence, but 8th as a cause of cancer death. For more than a decade, the reference regimen for palliative treatment of PC has been gemcitabine. In 2011, a randomised trial published by the PRODRIGE Intergroup showed an increase in median overall survival from 6.8 to 11.1 months in patients treated with FOLFIRINOX as compared with gemcitabine.

Material and methods: A total of 16 patients treated with FOLFIRINOX as first-line therapy for inoperable PC were included for this retrospective study. FOLFIRINOX was administered unmodified according to the PRODRIGE trial, and up to 12 cycles were planned with a computed tomography (CT) for every fourth cycle.

Results: Eleven patients completing at least four cycles of chemotherapy and therefore evaluable for response were assessed by review of CT. Partial response (PR) was shown after four cycles in four patients, whereas seven patients had stable disease, which resulted in an objective response rate of 36%. After eight cycles, one additional patient obtained a PR. No complete responders or patients with progressive disease were recorded. Toxicity was assessed by review of medical records with respect to toxic effects requiring interruption of therapy, admission of the patient or prolonged admission.

Conclusion: Toxicity was shown to be a problem only during the first five cycles, and no patients were admitted to hospital due to toxicity after having received more than five cycles. The six-month-survival was 81%.

Funding: not relevant.

Trial registration: not relevant.

Ombryd tekst
0
Brødtekst

Abstract

Introduction: Worldwide, pancreatic cancer (PC) ranks 13th in cancer incidence, but 8th as a cause of cancer death. For more than a decade, the reference regimen for palliative treatment of PC has been gemcitabine. In 2011, a randomised trial published by the PRODRIGE Intergroup showed an increase in median overall survival from 6.8 to 11.1 months in patients treated with FOLFIRINOX as compared with gemcitabine.

Material and methods: A total of 16 patients treated with FOLFIRINOX as first-line therapy for inoperable PC were included for this retrospective study. FOLFIRINOX was administered unmodified according to the PRODRIGE trial, and up to 12 cycles were planned with a computed tomography (CT) for every fourth cycle.

Results: Eleven patients completing at least four cycles of chemotherapy and therefore evaluable for response were assessed by review of CT. Partial response (PR) was shown after four cycles in four patients, whereas seven patients had stable disease, which resulted in an objective response rate of 36%. After eight cycles, one additional patient obtained a PR. No complete responders or patients with progressive disease were recorded. Toxicity was assessed by review of medical records with respect to toxic effects requiring interruption of therapy, admission of the patient or prolonged admission.

Conclusion: Toxicity was shown to be a problem only during the first five cycles, and no patients were admitted to hospital due to toxicity after having received more than five cycles. The six-month-survival was 81%.

Funding: not relevant.

Trial registration: not relevant.

Worldwide, pancreatic cancer (PC) ranks 13th in cancer incidence, but 8th as a cause of cancer death [1]. Most countries have incidence rates of 8-12 cases per 100,000 persons per year. Denmark is a highly epidemic country as approximately 900 patients are diagnosed annually. Operation is the only chance of cure, but only about 16% of Danish patients are operable at diagnosis [2].

For more than a decade, the reference regimen for palliative treatment of PC has been gemcitabine monotherapy since a randomised trial of 126 patients published in 1997 showed a minor increase in median overall survival (mOS) with gemcitabin as compared with bolus fluorouracil from 4.4 to 5.6 months, and an increase in 1-year survival from 2% to 18%. Most importantly, treatment with gemcitabine resulted in a significant improvement in a symptom score including pain, performance status and/or weight, from 5% to 24% of patients − and the treatment was well tolerated [3].

Over the years, there have been numerous futile clinical trials combining a variety of cytotoxic and biologically targeted agents with gemcitabine or with other drugs [4]. In May 2011, a randomised trial including 342 patients published by the French PRODRIGE Intergroup, however, showed an increase in mOS from 6.8 to 11.1 months in patients treated with FOLFIRINOX as compared with gemcitabine monotherapy. The objective response rate (ORR) tripled from 9.4% in the gemcitabine group to 31.6% in the FOLFIRINOX group. The patients had a good performance status (Eastern Cooperative Oncology Group performance status score of zero or one), were under 76 years of age, and all had metastatic PC. The toxicity was significantly higher in the FOLFIRINOX-treated group and consisted mainly of neutropenia, trombocytopenia, diarrhoea and sensory neuropathy [5].

There are only few reports on the feasibility of this intensive regimen used outside clinical trials [6, 7]. At our institution, treatment with FOLFIRINOX was initiated through the Unit for Experimental Cancer Treatment in Marts 2011. The present study reports the preliminary results for 16 patients treated during the first ten months.

MATERIAL AND METHODS

A total of 16 consecutive patients treated with FOLFIRINOX as first-line therapy for inoperable PC at the Department of Oncology, Aarhus University Hospital, from Marts 21st 2011 until September 15th 2012 were included in this retrospective study. Six females and ten males of a median age of 58 years (range 40-67 years) were treated. Seven patients had locally advanced disease and nine had metastatic disease. Four patients had a biliary stent. The carbohydrate antigen 19.9 was elevated in all patients but one (range 8-10,000 kU/l).

FOLFIRINOX was administered according to the doses prescribed in the PRODRIGE trial; oxaliplatin, 85 mg per m2 of body-surface area; irinotecan, 180 mg per m2; leucovorin, 400 mg per m2; and fluorouracil, 400 mg per m2 given as a bolus followed by 2,400 mg per m2 given as a 46-hour continuous infusion, every two weeks. Supportive treatment for neutropenia with filgrastin 6 mg subcutaneously was given to all patients at day three of each cycle. Up to 12 cycles were planned with a scan performed for every fourth cycle. Treatment continued until progressive disease or non-acceptable toxicity.

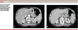
Twelve patients completing at least four cycles of chemotherapy were evaluable for response assessment. The remaining four patients had less than four cycles due to toxicity. Response was evaluated by CT (Figure 1).

Serious adverse events (SAEs), defined as toxic effects requiring interruption of therapy and unscheduled or prolonged admissions, were recorded by review of medical records. Mild non-haematological toxicity (not SAE) could not be reliably recorded by retrospective assessment and was therefore not included.

Estimated 6-month and median overall survival were calculated using SPSS version 20.0.0 (IBM Corporation, NY, USA).

Trial registration: not relevant.

RESULTS

The median number of cycles administered was 8.5 (range, 1-12 cycles), and eight patients completed the scheduled 12 cycles. No patients discontinued due to progressive disease. Seven patients discontinued treatment due to unacceptable toxic effects.

One patient with locally advanced PC was radiologically down-staged after five series of FOLFIRINOX and went through surgery with pancreatico-duodenectomy (Whipple procedure). The pathological staging was pT4N1R2. Post-operatively, the patient received gemcitabine for six months. Unfortunately, the disease relapsed after another six months.

The SAEs recorded were diarrhoea (n = 4), febrile neutropenia (n = 3), and nausea and vomiting (n = 4) distributed on 11 patients. No patients were admitted or had prolonged admittances due to toxicity after having received more than five cycles. The number of extra hospital admittances and the length of admittances distributed according to cycle number are shown in Table 1. At follow-up, a total of 121 series were administered, resulting in 11 admissions of an average duration of 5.4 days (range, 1-12 days), resulting in 0.49 days of admissions per treatment due to toxicity.

Blood samples were collected after every cycle, and overall nine patients experienced haematological toxicity but only two of these were Common Terminology Criteria for Adverse Events grade III or more. The toxi- city was neutropenia, trombocytopenia or anaemia (n = 3 in each category). Three patients were admitted due to febrile neutropenia, and one patient was admitted for the purpose of blood transfusion.

A partial response (PR) was shown at the first CT after a minimum of four cycles in eight evaluable patients, and four patients had stable disease (SD), which resulted in an ORR of 67%. Objective response (OR) in the intention-to-treat population was 50%, and the rate of disease control (stable disease plus response) was 75% (Table 2). No complete responders or patients with progressive disease were recorded during treatment.

Nine patients have died from disease. With a median of 8.5 months of follow-up, the six-month survival was 81%, while the median overall survival was 8.45 months (95% confidence interval (CI) 4.14-12.77 months) (Figure 2).

Patients treated with FOLFIRINOX accounted for 33% of all patients treated with first-line chemotherapy for inoperable PC at the institution during the period.

DISCUSSION

Although the results from the PRODRIGE trial showed convincing results in favour of FOLFIRINOX, the regimen has caused worries when it comes to toxicity, quality of life and cost-benefit [8]. Previously reported data show, however, that using FOLFIRINOX as first-line chemotherapy was associated with more overall life years and quality-adjusted life years than gemcitabine as first-line therapy [7]. In a retrospective series of 80 patients with 61 patients with stage III and 19 with stage IV disease treated with FOLFIRINOX as first-line therapy, an ORR of 44% in 52 evaluable patients was seen. One patient with stage III unresectable disease was down-staged and obtained an R0 resection. The median overall survival OS was 12.5 months for stage IV and 13.7 months for stage III patients, and the six-month survival for stage IV patients was approximately 75%. In that study, which was presented at the congress of American Society of Clinical Oncology in 2012, all patients were treated with a modified FOLFIRINOX starting dose of 80%, but despite that, half of the patients required a further dose reduction during therapy.

The present study supports the data on the efficacy of the unmodified FOLFIRINOX in good-performance-status patients with PC, also when used outside protocol. The fragment of patients with failure to comply with the schedule and the number of toxicity-related admissions observed, however, warrant further randomised studies of modified regimens with a more favourable toxicity profile, or studies of biomarkers of increased risk of toxicity [9].

In the pivotal randomised study, only patients with metastatic PC were included [5], and thus the effect of FOLFIRINOX in patients with locally advanced disease remains to be formally proven. A retrospective study of neoadjuvant FOLFIRINOX in 18 patients with unresectable or borderline-resectable, locally advanced PC, however, indicated that the regimen showed high activity in this setting: Seven patients were converted by chemotherapy to radiological resectability of whom five had R0 resections. Further radio-chemotherapy of unresectable patients converted an additional three patients into having an R0 resection. The overall R0 resection rate was 44%, and the one-year survival was 100% [6].

In March 2012, FOLFIRINOX was approved by the Danish Health and Medicines Authority, and the regimen is now recommended as standard treatment for patients with metastatic PC in good general condition [10].

Correspondence: Pia Charlotte Kræmer, Onkologisk Afdeling D, Aarhus Universitetshospital, Nørrebrogade 44, 8000 Aarhus C, Denmark. E-mail: piacka@dadlnet.dk

Accepted: 30 January 2014.

Conflicts of interest:Disclosure forms provided by the authors are available with the full text of this article at www.danmedj.dk

Sidebar placering
Venstrestillet
Billede
Sidebar placering
Venstrestillet
Billede
Sidebar placering
Venstrestillet
Billede
Sidebar placering
Venstrestillet
Billede
Sidebar placering
Venstrestillet
Article type
Journal
Magazine
References

REFERENCES

  1. Anderson KE, Mack T, Silverman D. Cancer of the pancreas. In: Schottenfeld D, Fraumeni JF Jr, eds. Cancer epidemiology and prevention. 3rd ed. New York: Oxford University Press, 2006.

  2. Fristrup C, Hansen CP, Ladekarl M et al. Dansk Pancreas Cancer Database. Ugeskr Læger 2012;174:2545.

  3. Burris HA 3rd, Moore MJ, Andersen J et al. Improvements in survival and clinical benefit with gemcitabine as first-line therapy for patients with advanced pancreas cancer: a randomized trial.J Clin Oncol 1997;15:2403-13.

  4. Van Laethem JL, Verslype C, Iovanna JL et al. New strategies and designs in pancreatic cancer research: consensus guidelines report from a European expert panel. Ann Oncol 2012;23:570-6.

  5. Conroy T, Desseigne F, Ychou M et al. PRODIGE Intergroup. FOLFIRINOX versus gemcitabine for metastatic pancreatic cancer. N Engl J Med 2011;364:1817-25.

  6. Hosein PJ, Macintyre J, Kawamura C et al. A retrospective study of neoadjuvant FOLFIRINOX in unresectable or borderline-resectable locally advanced pancreatic adenocarcinoma. BMC Cancer 2012;12:199.

  7. Attard CL, Brown S, Alloul K et al. Cost-effectiveness of FOLFIRINOX for first-line treatment of metastatic pancreatic cancer. J Clin Oncol 2012;30(suppl 4):abstr 213.

  8. Ko AH. FOLFIRINOX: a small step or a great leap forward?. J Clin Oncol 2011;29:3727-9.

  9. Glimelius B, Garmo H, Berglund A et al. Prediction of irinotecan and 5-fluorouracil toxicity and response in patients with advanced colorectal cancer. Pharmacogenomics J 2011;11:61-71.

  10. DPCG. Nationale kliniske retningslinier for udredning og behandling af cancer pancreatis 2011. www.gicancer.dk (11 Aug 2013).

Woodwing Id
1
Fil
Conflict of interest
Authors workplaces
Department of Oncology, Aarhus University Hospital
Bib ref
Dan Med J 2014;61(4):A4819
Article number
A4819
Authors

Pia Charlotte Kræmer, Hjørdis Hjalting Schmidt & Morten Ladekarl,

0 likes