Medlem i

7 years 7 months
Indholdselementer
Fakta

Abstract

Introduction: Using multidetector computed tomography, we aimed to assess the early response of neoadjuvant drug therapy for locally advanced colon cancer.

Methods: Computed tomography with IV contrast was acquired from 67 patients before and after up to three cycles of preoperative treatment. All patients had histologically confirmed colon cancer, a T4 or T3 tumour with extramural invasion ≥ 5 mm and no distant metastases or peritoneal nodules. The patients were treated with oxaliplatin and capecitabine. In addition, those with no mutations in the KRAS, BRAF and PIK3CA genes were also treated with panitumumab. Before and after treatment, we measured the tumour diameter in two different planes, the extension of the extramural tumour invasion, and the number and size of enlarged lymph nodes.

Results: The mean tumour length was 7.8 cm (95% confidence interval (CI): 5.3-10.4) at baseline and 4.34 cm (95% CI: 4.0-4.9) after treatment. The mean extramural tumour invasion was 10.6 mm (95% CI: 9.5-11.8) at baseline and 5.7 mm (95% CI: 4.7-6.7) after treatment. The mean number of enlarged lymph nodes was 4.1 (95% CI: 3.4-4.9) at baseline and 2.1 (95% CI: 1.4-2.7) after treatment. According to RECIST 1.1, 45% (95% CI: 34-57) of the patients had a response and 55% (95% CI: 43-67) had stable disease. None of the patients showed progressive disease.

Conclusion: Using CT, we demonstrated a significant reduction in tumour size, extramural tumour invasion, number and size of enlarged lymph nodes following neoadjuvant treatment.

Funding: not relevant.

Trial registration: Registered with ClinicalTrials.gov (NCT 01108107).

Ombryd tekst
0
Brødtekst

Abstract

Introduction: Using multidetector computed tomography, we aimed to assess the early response of neoadjuvant drug therapy for locally advanced colon cancer.

Methods: Computed tomography with IV contrast was acquired from 67 patients before and after up to three cycles of preoperative treatment. All patients had histologically confirmed colon cancer, a T4 or T3 tumour with extramural invasion ≥ 5 mm and no distant metastases or peritoneal nodules. The patients were treated with oxaliplatin and capecitabine. In addition, those with no mutations in the KRAS, BRAF and PIK3CA genes were also treated with panitumumab. Before and after treatment, we measured the tumour diameter in two different planes, the extension of the extramural tumour invasion, and the number and size of enlarged lymph nodes.

Results: The mean tumour length was 7.8 cm (95% confidence interval (CI): 5.3-10.4) at baseline and 4.34 cm (95% CI: 4.0-4.9) after treatment. The mean extramural tumour invasion was 10.6 mm (95% CI: 9.5-11.8) at baseline and 5.7 mm (95% CI: 4.7-6.7) after treatment. The mean number of enlarged lymph nodes was 4.1 (95% CI: 3.4-4.9) at baseline and 2.1 (95% CI: 1.4-2.7) after treatment. According to RECIST 1.1, 45% (95% CI: 34-57) of the patients had a response and 55% (95% CI: 43-67) had stable disease. None of the patients showed progressive disease.

Conclusion: Using CT, we demonstrated a significant reduction in tumour size, extramural tumour invasion, number and size of enlarged lymph nodes following neoadjuvant treatment.

Funding: not relevant.

Trial registration: Registered with ClinicalTrials.gov (NCT 01108107).

Colorectal cancer is the second most common type of cancer in the developed countries, and it is associated with significant morbidity and mortality. Previously, the treatment was surgery alone, but about half of the resected patients developed incurable recurrent disease. Post-operative adjuvant chemotherapy is now well established and represents a moderate improvement in survival for some patients with stage II and III colorectal cancer [1]. Neoadjuvant chemotherapy (NEC) has been shown to be effective in a number of locally advanced gastrointestinal cancers, including rectal cancer, and is presumed to have potential for improving the outcome in colon cancer [2, 3].

Combination chemotherapy regimens such as capecitabine plus oxaliplatin are established as treatment in advanced colorectal cancer; and in some patients. higher response rates can be achieved by adding epidermal growth factor receptor (EGFR) targeted therapies [4] It is well known that Kirsten rat sarcoma viral oncogene homologue (KRAS) mutation predicts the response to targeted EGFR therapy [5] An enhanced response is observed in patients with KRAS-wild type (normal) tumours, but no benefit is seen in KRAS-mutant tumours. Therapeutic inhibition of EGFR can be achieved with monoclonal antibodies such as panitumumab which has been proven to be useful in colorectal cancer [6].

Multidetector computed tomography (MDCT) is currently the standard modality for classification of colon cancer before curative surgical therapy [7]. MDCT colon has a low accuracy in determining the correct tumour (T) and necrosis (N) stage of colonic cancer and a reasonable accuracy only for identifying patients with advanced (T3/T4) colon cancer [3, 8].

Assessment of tumour response by CT in locally advanced gastric cancer following NEC has been made [9]; but to best of our knowledge, there are no finalised, large, systematic studies of colon cancer demonstrating the early effect of NEC using CT. The aim of the present study was to assess the early effect of NEC in locally advanced colon cancer by means of MDCT.

METHODS

This study formed part of the prospective multicentre study: “Neoadjuvant Chemotherapy and Biological Treatment for Patients with Locally Advanced Colon Cancer” performed in the Departments of Oncology, Radiology, and Clinical Pathology, Vejle, Herlev and Hilleroed Hospitals in Denmark [10]. The multicentre study was approved by the Regional Scientific Ethical Committee for Southern Denmark (S-20100014) and registered at ClinicalTrials.gov (NCT 01108107).

The inclusion criteria were histologically verified colon cancer, CT-verified T4 or T3 tumour with extramural tumour invasion (ETI) ≥ 5 mm, absence of distant metastases and peritoneal nodules as assessed by CT, analysis of KRAS, BRAF, PIK3CA, age over 18 years, performance status 0-2, absolute neutrophil count (ANC) ≥ 1.5 × 109/l and thrombocytes ≥ 100 × 109/l, bilirubin ≤ 3 × upper normal limit (UNL) and alanine aminotransferase (ALAT) ≤ 5 × UNL, consent to translational research, a negative pregnancy test in fertile women and use of secure birth control during and three months after treatment, and written and orally informed consent. The exclusion criteria were clinically significant cardiovascular disease (including myocardial infarction, unstable angina, symptomatic congestive heart failure, serious uncontrolled cardiac arrhythmia) ≤ 1 year before enrolment, active severe infections or other concurrent disease, peripheral neuropathy National Cancer Institute (NCI) grade > 1, other malignant disease within five years prior to enrolment except basal cell squamous carcinoma of the skin and cervical carcinoma in-situ, other investigational treatment within 30 days prior to treatment start, history of interstitial lung disease, e.g. pneumonitis or pulmonary fibrosis or evidence of interstitial lung disease on the baseline chest CT, bleeding tumours, and hypersensitivity to one or more of the substances of the study treatment.

The neoadjuvant chemotherapy was initialised ≤ 2 weeks after the baseline CT. Patients with gene mutations were treated with three cycles of oxaliplatin 130 mg/m2 intravenously (IV) on day 1 of a three-week cycle and oral capecitabine 2,000 mg/m2/day on days 1-14 of a three-week cycle. Additionally, patients without gene mutations were treated with panitumumab 9 mg/kg IV on day 1 of a three-week cycle.

Three weeks after NEC, 67 of 71 patients had an MDCT scan with IV contrast just prior to operation. Four patients were excluded as their CT after NEC was not performed, either due to lack of request or lacking patient compliance (Figure 1). Philips Brilliance 64-slice CT scanners (Philips, Eindhoven, The Netherlands) with Dynamic Dose Modulation were used. The CT was performed with a breath-hold technique in portal phase with IV contrast 100 ml iomeprol (Iomeron, Bracco, Milan, Italy) 300 mg I/ml using an automatic injector OptiVantag DH (Mallinckrodt, Cincinnati, Ohio, USA) with an injection rate of 4 ml/sec.

The baseline and post-NEC images from 3-mm CT slices underwent central review by an experienced gastrointestinal radiologist (over ten years of experience) with at least one week between the reviews. The radiologist was blinded from the baseline MDCT and the reports during the evaluation of the post-NEC scan. The
radiologist assessed axial tumour diameter, largest tumour diameter (length) in a reconstructed plane, extension of ETI, number of enlarged lymph nodes (> 5 mm), length and width of the largest regional lymph node using an Easy Viz PACS workstation (Medical Insight, Valby, Denmark) with a Coronis monitor (1,600 × 1,200 pixels), Megapixels Diagnostic Display System (Barco, Kortijk, Belgium). Multiplanar reconstruction was performed on the picture archiving and communication system (PACS). The response was evaluated according to the guidelines of the revised Response Evaluation Criteria in Solid Tumors (RECIST 1.1) [11].

Statistical analysis was performed using Number Cruncher Statistical Systems (NCSS, Kaysville, Utah, USA). Confidence limits were set at 95%. Descriptive statistics was used. The H0 hypothesis was that there was no difference between the MDCT prior to and after NEC. Significance in change of the different parameters before and after NEC was calculated using the Wilcoxon signed-rank sum test. p-values < 0.05 were considered significant.

Trial registration: registered with ClinicalTrials.gov (NCT 01108107).

RESULTS

A total of 37 males and 30 females with a mean age of 65 years (range: 39-86 years) participated. Generally, the preoperative treatment was well tolerated with 90% of the patients receiving at least two cycles of chemotherapy.

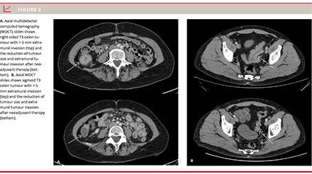
Overall, a reduction in tumour size was observed following NEC (Figure 2). The mean values for all 67 patients are shown in Table 1. The extramural tumour invasion of these advanced colonic cancers decreased from 11 mm to 6 mm after chemotherapy. The number and size of the peritumoral lymph nodes decreased. There was a statistically significant reduction in all variables after NEC compared with baseline (p < 0.001) with no overlap of the 95% confidence intervals (CIs). A tumour size reduction was measured in 90% (95% CI: 80-95%) of the 67 patients, Table 2. As to tumour size according to RECIST 1.1, 55% (95% CI: 43.3-66.5) of the patients (37 of 67) had stable disease. The two patients with tumour growth had an 8% and a 10% increase, respectively. None had progressive disease according to RECIST 1.1. 45% (95% CI: 33.5-56.7) of the patients (30 of 67) responded with a tumour size reduction of > 30%. One patient had complete response with no visible tumour after neoadjuvant chemotherapy (Table 2).

DISCUSSION

MDCT is the primary tool for preoperative staging of colon cancer. The present study represents an evaluation of the effect of NEC. A meta-analysis shows an overall sensitivity and specificity in differentiating between
T1/T2 and T3/T4 tumours of 95% and 50%, respectively. When the tumours were stratified according to the clinical distinction between T1/T2 + T3 < 5 mm ETI and T4 + T3 ≥ 5 mm ETI, the sensitivity and the specificity of CT in identifying poorly prognostic tumours were 87% and 49%, respectively [12]. With the current 64-slice machines, it is possible to view reformatted images in three dimensions, and a sensitivity and specificity of up to 93% and 86%, respectively, in detecting ETI on MDCT compared with histology has been reported [12]. Preliminary results from an ongoing study with 48 colon cancer patients assessed with MDCT by four radiologists and specimen analysis by a single pathologist suggest that MDCT is a specific, accurate and reproducible method for identifying T4 + T3 ≥ 5 mm ETI tumours with a sensitivity of 64-82%, a specificity of 84-92%, a positive predictive
value of 50-70%, a negative predictive value of 88-97% and an accuracy of MDCT of 75-88%, and the mean agreement between observers was 88% (standard deviation: 17%) per patient [13]. There is a potential risk of understaging T4 tumours as the detection of, e.g., peritoneal microscopical involvement remains a challenge in any radiological modality [3]. On the other hand, the high accuracy in the clinically significant distinction between early and advanced colonic cancers makes MDCT a relatively safe means of identifying patients suited for NEC [8] and for achieving early reduction in tumour size and ETI as shown in the present study.

The significant reduction in tumour size, level of ETI, and number and size of lymph nodes shown with CT is consistent with a recent publication from the FoxTROT Collaborative Group [14]. In addition to safety and feasibility, this pilot phase of a multicentre clinical trial showed down-staging in 99 locally advanced colon cancer patients allocated to NEC when radiological staging before preoperative treatment was compared with post-operative histopathological staging. As to the radiological assessment before and after chemotherapy, 11 patients out of 20 (55%) were truly down-staged and sux out of 17 (35%) truly upstaged. A 30% reduction in the depth of spread beyond the muscularis propria is consistent with our findings, where the ETI was reduced by 46%. Another research group also had no patients with progressive disease after similar neoadjuvant treatment of locally advanced colon cancer [15].

The aim of the present study was to compare MDCT before and after treatment to detect the early change in ETI and size of tumour and lymph nodes following NEC. It is possible that compared with histopathology, the tumour size and the level of ETI were overestimated on the post-NEC scan due to fibrotic tissue mimicking viable tumour tissue after NEC, as seen after preoperative treatment of rectal cancer; but unlike after radiation therapy, this is not often seen after chemotherapy [16]. The level of ETI has been shown to be one of the main independent histological prognostic factors in rectal cancer [17]. In the future, additional functional imaging such as perfusion CT may also add prognostic information and be used for treatment response monitoring in these patients [18].

The reduction in number and size of pathological lymph nodes should be interpreted with caution. CT has been shown to have a limitation as far as accurate identification of malignant nodes is concerned [12]. The presence of micro-metastases in normal-sized lymph nodes and benign enlargement of inflammatory nodes make detection of pathological lymph nodes on CT dubious. Also, the definition of enlarged lymph nodes on CT is not consistent across studies. Magnetic resonance imaging with diffusion-weighted imaging may improve the detection of lymph nodes in colorectal cancer [19].

Other studies have shown fair agreement between observers in MDCT interpretation of colon cancer [3, 20]. The inter-observer accuracy between radiologists in our study was not evaluated and this is a limitation. However, the experienced gastrointestinal radiologist was blinded from the baseline MDCT and reports during evaluation of the post-NEC CT, and we introduced a time interval between the evaluations of the two scans to reduce recall bias. Although blinded from the baseline CT results, the reader was not truly blinded because the radiologist knew that the patients were enrolled in the study. Another limitation is the exclusion of four patients due to missing CT three weeks after NEC; however, these patients were excluded randomly due to missing request or lacking patient compliance.

We have not assessed tumour attenuation response to chemotherapy in this study. Tumour response is usually assessed according to the RECIST criteria based on changes in tumour size alone [11]. However, adapted Choi criteria incorporating volumetric tumour attenuation in addition to tumour size have been reported to be more predictive of the pathologic response than RECIST in some studies [9] and might have been useful in this study.

In conclusion, using MDCT, we report a significant reduction in tumour size, extramural tumour invasion, and number and size of pathological regional lymph nodes following neoadjuvant treatment of locally advanced colon cancer. NEC may induce not only tumour down-sizing, but may bring about a significant prolongation of disease-free survival and eventually improve overall survival. The shown early response to NEC leads to hope for improvement in the outcome of locally advanced colon cancer patients, and clinical follow-up data are warranted.

Correspondence: Claus Dam, Radiologisk Afdeling, Vejle Hospital, Kabbeltoft 25, 7100 Vejle, Denmark. E-mail: claus.dam@rsyd.dk

Accepted: 30 April 2015

Conflicts of interest:Disclosure forms provided by the authors are available with the full text of this article at www.danmedj.dk

Acknowledgements: The authors would like to acknowledge Thomas B. Raade, Department of Radiology, Hilleroed Hospital, Denmark, for data collection.

Sidebar placering
Venstrestillet
Billede
Sidebar placering
Venstrestillet
Sidebar placering
Venstrestillet
Billede
Sidebar placering
Venstrestillet
Sidebar placering
Venstrestillet
Billede
Sidebar placering
Venstrestillet
Sidebar placering
Venstrestillet
Billede
Sidebar placering
Venstrestillet
Article type
Journal
Magazine
References

REFERENCES

  1. QUASAR Collaborative Group. Adjuvant chemotherapy versus observation in patients with colorectal cancer: a randomised study. Lancet 2007;370:
    2020-29.

  2. Karoui M, Koubaa W, Delbaldo C et al. Chemotherapy has also an effect on primary tumor in colon carcinoma. Ann Surg Oncol 2008;15:3440-6 .

  3. Burton S, Brown G, Bees N et al. Accuracy of CT prediction of poor prognostic features in colonic cancer. Br J Radiol 2008;81:10-9.

  4. Tol J, Koopman M, Rodenburg CJ et al. A randomised phase III study on capecitabine, oxaliplatin and bevacizumab with or without cetuximab in first-line advanced colorectal cancer, the CAIRO2 study of the Dutch Colorectal Cancer Group (DCCG). An interim analysis of toxicity. Ann Oncol 2008;19:734-8.

  5. Tan C, Du X. KRAS mutation testing in metastatic colorectal cancer. World J Gastroenterol 2012;18:5171-80.

  6. Van Cutsem E, Peeters M, Siena S et al. Open-label phase II trial of panitumumab plus best supportive care compared with best supportive carte alone in patients with chemotherapy-refractory metastatic colorectal cancer. J Clin Oncol 2007;25:1658-64.

  7. Van de Velde CJ, Boelens PG, Borras JM et al. EURECCA colorectal: multidisciplinary management: European consensus conference colon & rectum. Eur J Cancer. 2014;50:1.e1-1.e34.

  8. Nørgaard A, Dam C, Jakobsen A et al. Selection of colon cancer patients for neoadjuvant chemotherapy by preoperative CT scan. Scand J Gastroenterol 2014;49:202-8.

  9. Liu K, Li G, Fan C et al. Adapted Choi response criteria for prediction of clinical outcome in locally advanced gastric cancer patients following preoperative chemotherapy. Acta Radiol 2012;53:127-34.

  10. Neoadjuvant treatment of colon cancer. http://clinicaltrials.gov/ct2/show/NCT01108107 (14 May 2015).

  11. Eisenhauer EA, Therasse P, Bogaerts J et al. New response evaluation criteria in solid tumours: revised RECIST guideline (version 1.1). Eur J Cancer 2009;45:228-47.

  12. Dighe S, Purkayastha S, Swift I et al. Diagnostic precision of CT in local staging of colon cancers: a meta-analysis. Clin Radiol 2010;65:708-19.

  13. Rosado E, Germano A, Costa A et al. Selection of colon cancer patients for neoadjuvant chemotherapy based on optimised preoperative MDCT A prospective multi-observer radiologic-pathologic agreement study. Insights Imaging 2015; 6(suppl 1):S320.

  14. Foxtrot Collaborative Group. Feasibility of preoperative chemotherapy for locally advanced, operable colon cancer: the pilot phase of a randomised controlled trial. Lancet Oncol 2012;13:1152-60.

  15. Arredondo J, González I, Baixauli J et al. Tumor response assessment in locally advanced colon cancer after neoadjuvant chemotherapy. J Gastrointest Oncol 2014;5:104-11.

  16. Suárez J, Amat I, Vera R. Pathologic response of primary rectal cancer to oxaliplatin-based chemotherapy. Clin Colon Rectal Surg 2011;24:119-24.

  17. Gunderson LL, Sargent DJ, Tepper JE et al. Impact of T and N stage and treatment on survival and relapse in adjuvant rectal cancer: a pooled analysis. J Clin Oncol 2004;22:1785-96.

  18. Dighe S, Castellano E, Blake H et al. Perfusion CT to assess angiogenesis in colon cancer: technical limitations and practical challenges. Br J Radiol 2012;85:814-25.

  19. Heijnen LA, Lambregts DM, Mondal D et al. Diffusion-weighted MR imaging in primary rectal cancer staging demonstrates but does not characterise lymph nodes. Eur Radiol 2013;23:3354-60.

  20. Kim YH, Lee KH, Park SH et al. Staging of T3 and T4 gastric carcinoma with multidetector CT: added value of multiplanar reformations for prediction of adjacent organ invasion. Radiology 2009;250:767-75.

Woodwing Id
1
Fil
Conflict of interest
Authors workplaces
1) Department of Radiology, Vejle Hospital2) Department of Radiology, Herlev Hospital3) Department of Oncology, Vejle Hospital, Denmark
Bib ref
Dan Med J 2015;62(7):A5103
Article number
A5103
Authors

Claus Dam1, Vera Lund-Rasmussen2, John Pløen3, Anders Jakobsen3 & Søren Rafael Rafaelsen1

0 likes