Medlem i

7 years 7 months
Indholdselementer
Fakta

Abstract

Introduction: Venous reconstructions after iatrogenic injuries are rarely performed and are associated with a relatively high risk of complications. We present our experiences with venous reconstructive surgery to the iliofemoral vein segment.

Material and methods: We reviewed ten patients with venous injuries evaluating clinical characteristics, operative and postoperative data including location and type of venous injury, operative repair and outcome. Venous injuries either occurred during varicose vein surgery or other kinds of procedures in the region. The injuries were repaired by interposition with a polytetrafluorethylene graft, and after surgery they were treated with an intermittent pneumatic compression device and anticoagulation medicine. Subsequently, patients were evaluated both clinically and by colour duplex scan.

Results: The mean patient age was 42.5 years (range 26-61 years) with no reported co-morbidity. The median follow-up was 16 months (range 12-157 months). The 30-day patency rate was 70% and the morbidity rate 40%. At the latest follow-up, the venous patency rate was 90% after supplementary treatment.

Conclusion: The study shows a satisfactory outcome despite severe iatrogenic injuries to the iliofemoral vein segment. Venous reconstructive surgery should be a centralized task.

Funding: not relevant.

Trial registration: not relevant.

Ombryd tekst
0
Brødtekst

Abstract

Introduction: Venous reconstructions after iatrogenic injuries are rarely performed and are associated with a relatively high risk of complications. We present our experiences with venous reconstructive surgery to the iliofemoral vein segment.

Material and methods: We reviewed ten patients with venous injuries evaluating clinical characteristics, operative and postoperative data including location and type of venous injury, operative repair and outcome. Venous injuries either occurred during varicose vein surgery or other kinds of procedures in the region. The injuries were repaired by interposition with a polytetrafluorethylene graft, and after surgery they were treated with an intermittent pneumatic compression device and anticoagulation medicine. Subsequently, patients were evaluated both clinically and by colour duplex scan.

Results: The mean patient age was 42.5 years (range 26-61 years) with no reported co-morbidity. The median follow-up was 16 months (range 12-157 months). The 30-day patency rate was 70% and the morbidity rate 40%. At the latest follow-up, the venous patency rate was 90% after supplementary treatment.

Conclusion: The study shows a satisfactory outcome despite severe iatrogenic injuries to the iliofemoral vein segment. Venous reconstructive surgery should be a centralized task.

Funding: not relevant.

Trial registration: not relevant.

The overall incidence of vascular injuries is very low, estimated at 0.9 to 2.3 per 100,000. However, this incidence has increased in recent years due to the growing number of iatrogenic injuries [1]. Vascular injuries during elective operations are rare, but they are associated with serious morbidity and a high risk of mortality. For instance, the literature describes 43 cases of severe venous injuries including five cases with fatal injuries seen during varicose surgery [2].

In cases with minor injuries, venous repair can be performed with simple vascular surgery repair techniques, such as primary repair or end-to-end anastomosis. However, in cases with more severe injuries, interposition grafts or patch venoplasty are required. Surgical revascularisation of the iliofemoral vein segment after iatrogenic injuries is only rarely performed. It can, however, be done by interposition of expanded polytetrafluorethylene (PTFE) prostheses with external ring support [3]. This requires great skills on the part of the vascular surgeon to control bleeding, avoid additional damage to the vein structures when the surgeon performs the anastomosis. Furthermore, close control and precise treatment with anticoagulation medicine are essential during and after reconstruction.

During the 1991-2009-period, the Department of Vascular Surgery, Gentofte Hospital performed a number of venous reconstructions with PTFE graft after iatrogenic injury to the iliofemoral vein segment on Danish citizens from all of Denmark. We present our experience with this procedure.

MATERIAL AND METHODS

The study included ten patients with iatrogenic injuries to the iliofemoral vein segment, who underwent venous repair during the 18-year-period from 1991 to 2009. Information on sex, age, type of primary surgical procedure, type of injury and the reconstruction performed was obtained from The Danish Vascular Registry [4] as well as from medical records. Data are summarized in Table 1.

The primary operations were as follows: stella venosa resection (n = 5), coronary angiography (n = 1), tumour resection procedures (n = 2), inguinal hernia surgery (n = 1) and spondylodesis operation (ventral approach) at level L4/S1 (n = 1). The iatrogenic injuries of the iliofemoral vein segment were: laceration (n = 6), traumatic ligation (n = 3) and compression (n = 1).

In nine of the ten cases, a PTFE graft was interposed end-to-end and in one case end-to-side. Vascular repair was performed acutely in two cases because of life-threatening bleeding; sub-acutely in six cases within 1-12 days; and electively in two cases within 5-42 months.

Patient no. 1 was initially treated conservatively, but underwent venous repair because of permanent symptoms of tiredness and unilateral leg oedema. Patient no. 2 was initially treated with catheter-directed thrombolysis. This, however, was unsuccessful as the injury of the femoral vein turned out to be traumatic ligation. Patient no. 4 initially underwent venous repair with interposition of a saphenous vein-graft. However, because of venous occlusion two years later, a replacement PTFE graft was inserted. Patient no. 6 initially underwent catheter-directed thrombolysis followed by stenting because of deep vein thrombosis. Due to local inconvenience from the stent which had a tendency to migrate, the patient underwent venous repair with a PTFE graft after removal of part of the stent. The remaining six patients had a PTFE graft interposed as first-choice treatment.

Postoperatively, all patients were treated with an intermittent pneumatic compression devices, mobilized as soon as possible and provided with short compression stocking grade 2 when the oedema decreased. Furthermore, all patients started anticoagulation therapy; initially with low-molecular-weight heparin followed by vitamin K antagonist during a period of 3-6 months (lifelong in one case of a concomitant positive Leiden factor V mutation).

Trial registration: not relevant.

RESULTS

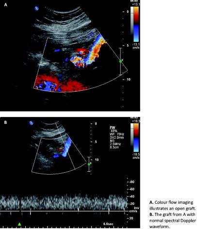
The mean age of the six women and four men was 42.5 years (range 26-61 years); no comorbidity was reported. Routine follow-up included a clinical examination as well as colour duplex scan of the relevant segment with a view to evaluating venous patency at three months postoperatively and once a year. The median follow-up period was 16 months (range 12-157 months). The number of patients was too small for statistical analysis.

Early results (< 30 days)

The 30-day patency rate was 70%. Within 30 days postoperatively, three patients required further vascular surgery intervention: one patient developed stenosis of the PTFE graft which was treated with a stent, and two patients developed occlusion of the PTFE graft: one was treated with catheter-directed thrombolysis followed by stenting and one by replacement of the PTFE graft and insertion of an arteriovenous fistula. There were no complications in terms of bleeding or infection.

Late results

The venous patency rate was 90% after supplementary treatment. The colour duplex scan showed that nine patients had open PTFE grafts. However, one patient had a PTFE graft stenosis, but flow in the iliac externa vein, which corresponded to the genuine system via collaterals. This was the only case in which the PTFE graft was inserted end-to-side. One stenosis was identified seven months postoperatively. The patient was treated with a stent. At the latest follow-up (range from 12 months to 13 years), four patients had injury-related complications such as subjective symptoms of tiredness and heaviness, three of whom had tendencies towards limb oedema and two of whom had segmental reflux: one in the popliteal vein and one in the femoral vein. The morbidity rate was 40%. No patients died during follow-up.

DISCUSSION

According to the literature, major iatrogenic venous injuries are associated with high morbidity and mortality. Oderich et al showed that despite an aggressive and intensive approach, nearly 70% of the patients had complications, and 18% died from injury-related causes after iatrogenic injuries of the abdominal and pelvic veins [1]. Repair of such injuries by a vascular surgeon is therefore recommended to minimize the risk of complications. Repair requires knowledge of vascular surgery techniques as well as familiarity with dissection of the vascular structures. In case of simultaneous organ damage or acute arterial insufficiency, the reconstruction on the venous side can be postponed to a later stage. However, immediate recognition of such injuries is usually essential for the achievement of safe and satisfactory treatment.

The best treatment for major venous injuries remains controversial [5, 6]. While primary venous ligation may be first choice in the haemodynamically unstable patient, it often gives rise to severe postoperative oedema [7]. However, Yelon et al showed that 86% of patients treated by ligation of venous injuries of their lower extremities and pelvis were free of oedema at discharge [8]. Conversely, reconstruction is associated with a risk of stenosis or occlusion and the risk of severe infection is increased in case of interposition of the PTFE graft. While occlusion primarily occurs within weeks postoperatively, the subsequent delayed occlusion rate is very low [9]. Pappas et al examined the outcome of complex venous reconstruction in patients with trauma in the lower extremity and found a 30-day patency rate of 50-93% depending on the type of venous repair, and only a 50% patency rate when using panel or spiral grafts [10]. Furthermore, Corey et al showed that PTFE grafts had a 45% patency rate for two years when used for surgical reconstruction of iliofemoral veins and the inferior vena cava for nonmalignant occlusive disease [11]. Open repair is now usually performed for venous injuries, but some good results were reported after endovascular treatment for isolated injury of the common iliac vein [12]. We have only used endovascular treatment to restore venous patency in cases with occlusion or stenosis of the PTFE graft.

We had a 30-day patency rate of 70% and at the latest follow-up, the venous patency rate was 90% after supplementary treatment. But even though the PTFE grafts were open in nine out of ten cases, four patients still had subjective symptoms, three of whom had tendencies towards oedema. The oedema in these patients might be caused by the segmental reflux shown by colour duplex in two cases or by injury and manipulation itself at the primary operation, which may have resulted in lymphatic damage.

Although the literature is scarce and our material is similarly small, we found satisfactory results from repair of major iliofemoral vein injuries with reconstruction using PTFE grafts at our centre. In accordance with the guidelines from the American Venous Forum, we recommend repair of major venous injuries in a haemodynamically stable patient with single-system injuries [13]. Furthermore, we recommend that the procedures be performed by vascular surgeons at few centers with experience in the field capable of offering close postoperative patient control.

Correspondence: Morten Bo Larsen, Ortopædkirurgisk Afdeling, Hillerød Hospital, Dyrehavevej 29, 3400 Hillerød, Denmark. E-mail: mblarsen@dadlnet.dk

Accepted: 26 January 2012

Conflicts of interest:None

Sidebar placering
Venstrestillet
Billede
Sidebar placering
Venstrestillet
Billede
Sidebar placering
Venstrestillet
Article type
Journal
Magazine
References

REFERENCES

  1. Oderich GS, Panneton JM, Hofer J et al. Iatrogenic operative injuries of abdominal and pelvic veins: A potentially lethal complication. J Vasc Surg 2004;39:931-6.

  2. Rudstrøm H, Bjørck M, Bergqvist D. Iatrogenic vascular injuries in varicose vein surgery: a systematic review. World J Surg 2007;31:228-33.

  3. Vollmar JF. Reconstructive venous surgery. Principles and technical prerequisites. Langenbecks Arch Chir 1988;2:165-8.

  4. The Danish Vascular Registry, Karbase. www.karbase.dk (March 2009).

  5. Oktar GL. Iatrogenic major venous incurred during cancer surgery. Surg Today 2007;37:366-9.

  6. Mandolfino T, Canciglia A, Taranto F et al. Outcome of iatrogenic injuries to the abdominal and pelvic veins. Surg Today 2008;38:1009-12.

  7. Timberlake GA, Kerstein MD. Venous injury: to repair or ligate, the dilemma revisited. Am Surg 1995;61:139-45.

  8. Yelon JA, Scalea TM. Venous injuries of the lower extremities and pelvis: repair versus ligation. J Trauma 1992;33:532-6.

  9. Zamir G, Berlatzky Y, Rivkind A et al. Results of reconstruction in major pelvic and extremity venous injuries. J Vasc Surg 1998;28:901-8.

  10. Pappas PJ, Haser PB, Teehan EP et al. Outcome of complex venous reconstruction in patients with trauma. J Vasc Surg 1997;25:398-404.

  11. Corey JJ, Gloviczki P, Cherry KJ et al. Surgical reconstruction of iliofemoral veins and the inferior vena cava for non-malignant occlusive disease. J Vasc Surg 2001;33:320-8.

  12. Zieber SR, Mustert BR, Knox MF et al. Endovascular repair of spontaneous or traumatic iliac vein rupture. J Vasc Interv Radiol 2004;15:853-6.

  13. Gillespie DL, Quan RW. The management of extremity venous trauma. In: Handbook of venous disorders: Guidelines of the American Venous Forum. Gloviczki P (Ed.). Third edition. London: Hodder Arnold, 2009:568-73.

Woodwing Id
1
Fil
Conflict of interest
Authors workplaces
Department of Vascular Surgery, Rigshospitalet and Gentofte Hospital
Bib ref
Dan Med J 2012;59(4):A4410
Article number
A4410
Authors

Morten Bo Larsen & Niels Bækgaard,

0 likes