Medlem i

12 years 10 months
Indholdselementer
Billede
Sidebar placering
Venstrestillet


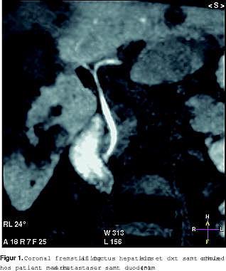
Ugeskrift for Læger havde den 13. juni 2005 et temanummer om galdesten. Det omhandlede også billeddiagnostik [1]. Til vor store forundring nævnes intet om en nyere MR-teknik. I dag laver man ikke kun MRCP (statisk billeddannelse ved hjælp af galdens vandindhold) men også funktionsbaseret fremstilling af galdevejene ved hjælp af enten kunstige stoffer eller paramagnetiske ernæringsstoffer (Figur 1 ).

I dag findes tre leverspecifikke kontraststoffer, som udskilles i galden. På Amtssygehuset i Herlev har vi i et stykke tid anvendt det nye kontraststof (CMC-001, CMC Contrast, Malmø, Sverige), der er baseret på ernæringsprodukter. Det skal ikke injiceres, men indtages peroralt, så oplysning om det enterohepatiske kredsløb fås også.

I modsætning til den beskrevne CT-teknik, som anvender de gamle ioderede galdekontraststoffer, der var kendt for høje bivirkningsfrekvenser, herunder allergilignende reaktioner, og langvarig ophobning af jod i thyroidea, så anvender MR-teknikken ingen røntgenstråling, og kontraststoffet er uden bivirkninger, hvorfor gentagne optagelser er mulige. Det er vores erfaring, at MR er langt at fortrække, idet man samtidig får fordelen af den gode bløddelsopløselighed. Det samme har været fremført i litteraturen [2-5]. Det kan være til patienter, hvor statisk MRCP ikke var sufficient, patienter med Klatskin-tumor, patienter med galdevejslæsioner samt forud for leverresektioner, hvor kortlægning af intrahepatiske galdeveje er ønskeligt.

Interessekonflikt: Henrik S. Thomsen er ulønnet medicinsk rådgiver for CMC Contrast, der er ingen interessekonflikter, for så vidt angår de andre produkter. Øvrige forfattere ingen interessekonflikter.

SVAR




Sidebar placering
Venstrestillet
Article type
Journal
Magazine
Section
References

<ol class="Litt-list">
<li>Ainsworth AP, Fallentin EM, Myschetzky PS. Billeddiagnostik ved galdesten - hvor går vi hen? Ugeskr Læger 2005;167:2615-7.</li>
<li>Vitellas KM, El-Dieb A, Vaswani KK et al. Using contrast-enhanced MR cholangiography with IV mangafodipir trisodium (Teslascan) to evaluate bile duct leaks after cholecystectomy: a prospective study of 11 patients. Am J Roentgenol 2002;179:409-16.</li>
<li>Kapoor V, Peterson MS, Baron RL et al. Intrahepatic biliary anatomy of living adult liver donors: correlation of mangafodipir trisodium-enhanced MR cholangiography and intraoperative cholangiography. Am J Roentgenol 2002;179:1281-6.</li>
<li>Thomsen HS, Loegager V, Noergaard H et al. Oral manganese for liver imaging at three different field strengths. Acad Radiol 2004;11:630-6.</li>
<li>Fayad LM, Kamel IR, Mitchell DG et al. Functional MR cholangiography: diagnosis of functional abnormalities of the gallbladder and biliary tree. Am J Roentgenol 2005;184:1563-71.</li>
</ol>

Woodwing Id
227627
Authors

MR-fysiker Elizaveta Chabanova. Forskningsradiograf Jakob M. Møller. Overlæge Vibeke Løgager. Professor Henrik S. Thomsen. E-mail: heth@herlevhosp.kbhamt.dk. Radiologisk afdeling, Amtssygehuset i Herlev

0 likes
Read time
2